top of page
Sorridi e vivi bene.
“Il modo migliore di mostrare i denti è con un sorriso.”
Henry Miller
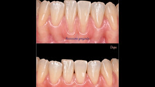
Attraverso il sorriso esprimiamo il nostro stare bene. Sorridere attiva risposte neurologiche potenti, è il primo antidepressivo e stimola anche il sistema immunitario. Prendersi cura della bocca e dei denti è il primo passo per stare bene, con se stessi e con gli altri. E noi, dal 1992 ci occupiamo di sorrisi.
Centro Andriolo
Studio Dentistisico a Vicenza
Siamo un gruppo di professionisti in grado di prendersi cura della salute e dell’estetica della bocca, a partire dai primi anni di vita della persona fino all’età adulta. Un percorso da implementare insieme per mantenere e migliorare il sorriso unico di ognuno.
Cure e Trattamenti
Il modo più semplice per prendersi cura del proprio sorriso. Insieme valuteremo qual è la soluzione migliore.
Il nostro Percorso
bottom of page









